임시 비밀번호 : 4588
비밀번호 :
전후사진 2 페이지 | 강남역 화이트드림치과 - 강남치과, 강남임플란트 치아교정치과

전후사진 2 페이지

본문 바로가기
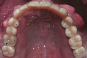
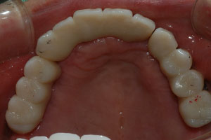
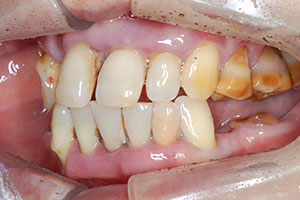
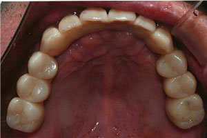
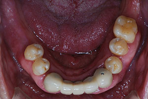
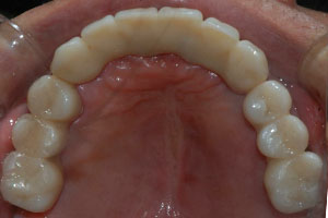
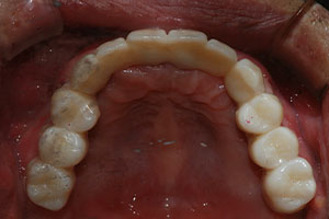
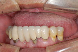
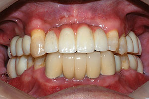
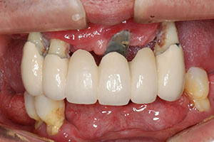
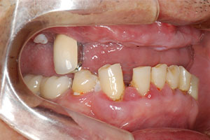
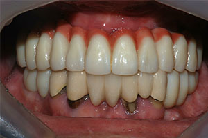
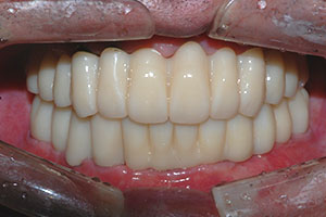
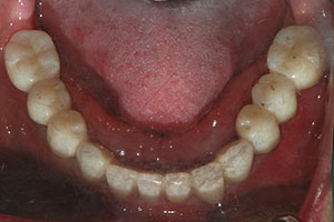
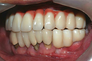
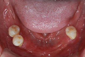
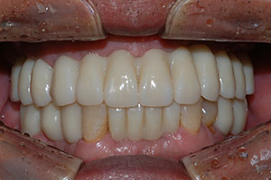
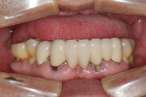
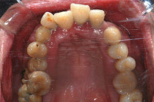
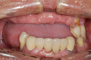
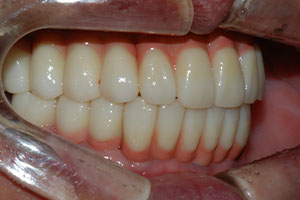
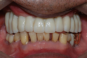
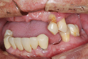
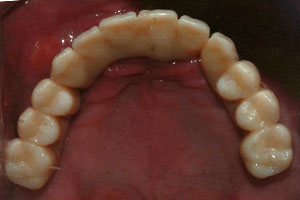
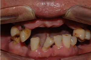
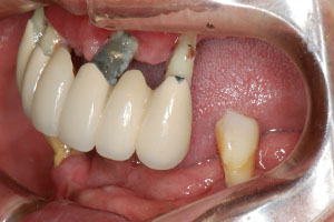
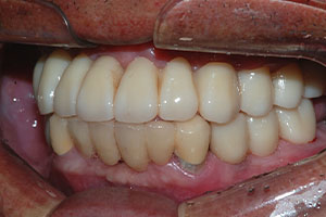
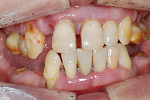
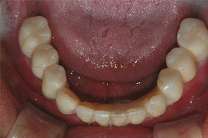
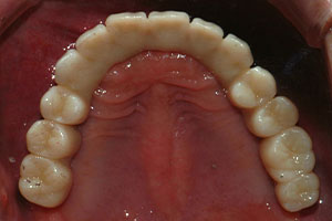
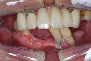
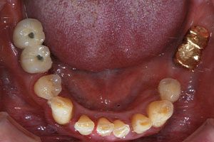
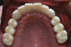
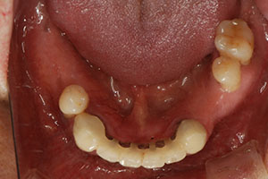
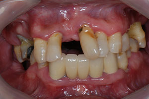
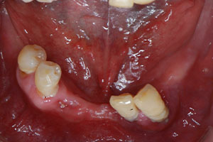
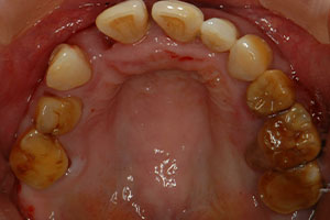
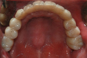
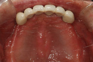
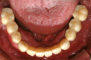
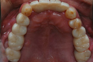
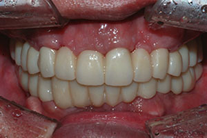
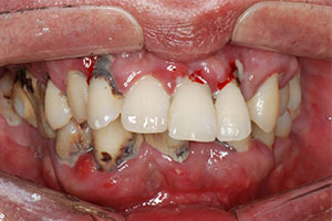
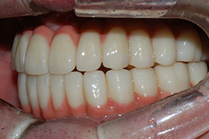
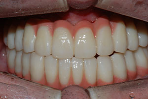
치료증례 전후사진
Before & After

우리는 내일의 당신을 먼저 생각합니다.

a9db3067cff1c27c28aa713ee7f36abc_1698976199_9893.jpg
 

게시물 검색

  • 화이트드림치과의원 | 대표: 정수윤 | 주소: 서울특별시 서초구 서초동 1307-21번지, Block77 5층
    사업자번호 : 220-10-12749 | TEL: 02-558-0037 / 02-558-2879 / FAX : 02-6499-2879
    COPYRIGHT 2019 White Dream Dental. ALLRIGHTS RESERVED.


?>