About WD 의료진 소개 환자중심 공간구성 3D진단장비 디지털 기공센터 진료시간 및 위치안내 둘러보기
투명한 수가정책
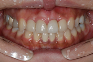
치아교정 인비절라인 어린이교정 부분교정 티끌교정 투명교정 세라믹교정 자가결찰교정클리피씨 메탈교정 콤비교정 설측교정 증상별 교정치료
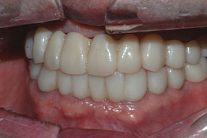
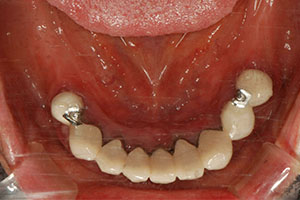
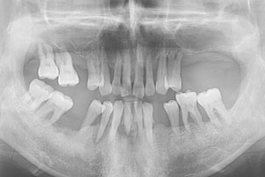
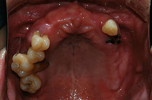
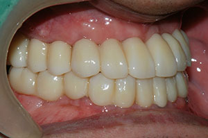
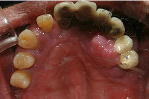
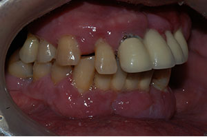
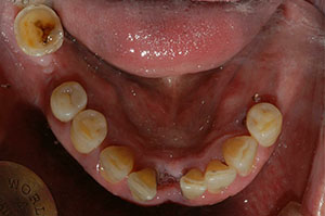
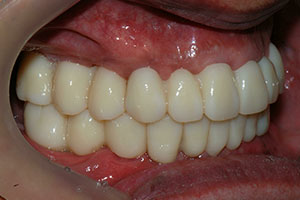
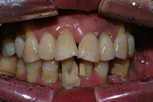
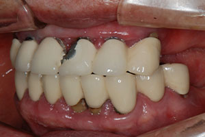
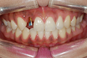
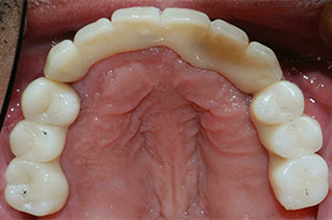
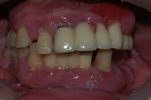
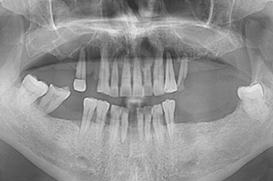
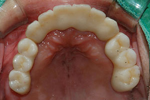
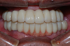
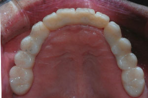
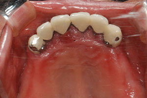
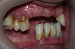
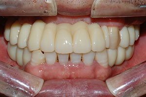
임플란트 임플란트종류 전체임플란트 컴퓨터분석 임플란트 당일즉시 임플란트 자가치아뼈이식 맞춤 임플란트 재수술 임플란트 상악동 거상술 자체기공실 임플란트 보험안내
화이티니 라미네이트 치아성형 치아미백 라미네이트 재시술 올세라믹 잇몸성형
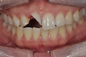
충치치료 레진/인레이 신경치료 크라운 브릿지 포스트 사랑니발치 틀니 잇몸치료
공지사항 화이트드림 정보 화이트드림 소식 프로모션 문화공연 이벤트 온라인 상담 전후사진 리얼치료후기 with Star
화이트드림치과의원 | 대표: 정수윤 | 주소: 서울특별시 서초구 서초동 1307-21번지, Block77 5층 사업자번호 : 220-10-12749 | TEL: 02-558-0037 / 02-558-2879 / FAX : 02-6499-2879 COPYRIGHT 2019 White Dream Dental. ALLRIGHTS RESERVED.